
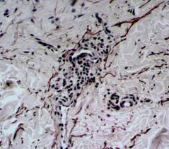
Orceína era originalmente un colorante natural obtenido de líquenes, pero ahora se produce sintéticamente. Se puede utilizar para teñir para fibras elásticas y los antígenos de superficie de hepatitis B. Demostración de superficie de la hepatitis B antígenos actos por oxidación del azufre que contiene proteínas de permanganato de potasio, que forman restos sulfonato reactivos. Estos reaccionan con el Orceína. En este tipo de hepatitis viral los hepatocitos afectados muestran una apariencia de vidrio esmerilado citoplasmática típico.
Results
Hepatitis 'B' Surface Antigen |
púrpura oscuro |
Antecedentes |
púrpura pálido |
Photo - x10 Tincion Orceina

El método Las fibras elásticas se modifica a partir del método Taenzer-Unna Orceína y es particularmente útil para, fibras delicadas finas. Orceína parece ser notablemente selectiva para el tejido elástico. El mecanismo preciso de la unión por elastina orceína no está claro, aunque las fuerzas de Van der Waals se consideran estar involucrado. Las fibras elásticas son una estructura densa, por lo tanto atraen más del colorante y son por lo tanto más profundamente manchadas.
Method
1. Tome secciones a 70% de alcohol.
2. Manchas en orceína a 37 ° C durante 1 hora.
3. Enjuague con 70% de alcohol.
4. Diferenciar ácido 1% / alcohol hasta el fondo es claro.
5. Lave bien con agua destilada.
6. De contraste, si es necesario con hematoxilina durante 10-20 segundos.
7. 'Azul' en carbonato de litio.
8. Deshidratar, aclarar y montar
Results
Fibras elásticas |
Marron obscuro |
otros tejidos |
marron |
Imagen - elástico Orceína x10
